-
-
-
Tổng tiền thanh toán:
-
Chưa từng có, tháng Bảy này, Natalie ưu đãi trị mụn mờ thâm chỉ 199k. Cam kết điều trị: + Chỉ 3-5 buổi, da sạch mụn mờ thâm. + Điều trị mọi loại mụn đeo bám dai dẳng lâu ngày. Có gì đặc ...
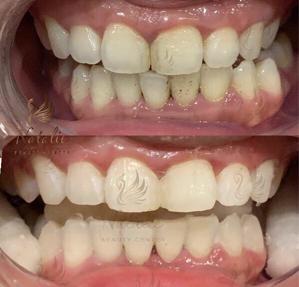
Tẩy trắng răng hiện nay là phương pháp được nhiều người áp dụng để để loại bỏ những vết ố vàng không mong muốn trên hàm răng. Vậy có nên tẩy trắng răng không? Cùng Natalie tìm hiểu nhé.
Trong quá trình ăn uống hàng ngày, những thực phẩm có màu rất dễ dàng bám dính trên răng, phá hủy men răng khiến răng ngả màu và ố vàng.
Nếu không vệ sinh răng miệng đúng cách và đều đặn hàng ngày, những vết bám đó sẽ ở lại lâu trên răng, sinh ra các phản ứng khiến răng bị vàng.

Một số thuốc trong quá trình điều trị các bệnh lý khác có thể kích thích, gây ra tác dụng phụ là làm răng vàng.
Ví dụ như: đối với trẻ nhỏ, khi còn trong bụng mẹ, người mẹ đã sử dụng thuốc tetracycline (được sử dụng đối với bệnh nhiễm trùng đường tiết niệu, thường gặp ở các mẹ bầu) khiến cho răng bé từ khi sinh ra đã bị xỉn màu.
Những người hút thuốc lá nhiều thường không giữ được màu răng trắng như vốn có do trong thuốc lá có các chất khiến phá hủy men răng và hơi thở.

Răng ố vàng có thể báo hiệu cho tình trạng sức khỏe của cơ thể.
Một số bệnh lý liên quan đến tim mạch, máu, tiểu đường hay hô hấp,... có thể gây ra biến chứng và trong số đó là vấn đề liên quan đến răng.
Bao gồm những thực phẩm có màu, độ bám lâu, khiến răng dễ nhiễm màu:
Cà phê:
Bề mặt cấu tạo răng chứa nhiều lỗ xốp, đồng nghĩa với việc nó có khả năng hấp thụ những chất lỏng mà bạn uống vào.
Độ đậm màu của cà phê sẽ dễ dàng bám lên các lỗ làm răng ố vàng và khiến màu răng ngày càng tối.
Trà búp:
Thông thường trong nhà có chứa một lượng chất gọi là tanin. Trà càng đậm màu, lượng tanin càng nhiều, khiến răng càng dễ bị xỉn màu.
Nước ngọt:
Đường và axit nhân tạo có trong nước ngọt sẽ cùng nhau tác động vào men răng, khiến lớp ngoài yếu dần cũng như ngả màu dần, đặc biệt là nếu bạn dùng thức uống này mỗi ngày.
Củ dền:
Mặc dù có những thành phần rất tốt và bổ cho sức khỏe đặc biệt là máu nhưng khả năng nhuộm màu của củ dền rất lớn, thậm chí còn mạnh hơn nhiều loại rau củ quả khác.
Bởi vậy, sau khi ăn cần vệ sinh răng miệng kỹ càng để bảo vệ lớp men răng vốn có.

Hạt vừng:
Trong hạt vừng có chứa nhiều canxi giúp làm chắc khỏe răng và nướu.
Việc bổ sung vừng hàng ngày vào bữa ăn của gia đình có thể giúp bạn tăng thêm 87mg canxi cho răng.
Trà xanh:
Trà xanh có chứa chất catechins có tác dụng diệt vi khuẩn trong miệng và các mảng bám trên răng. Catechin cũng tiêu diệt các vi khuẩn gây hôi miệng.
Rau mùi tây:
Ăn kèm mùi tây hoặc lá bạc hà sau mỗi bữa ăn cay sẽ giúp bạn duy trì hơi thở thơm tho.
Những loại thảo mộc này có chứa monoterpene, các hợp chất giúp bay mùi và làm trắng răng.
Nước:
Không chỉ giúp duy trì độ ẩm cho da hàng ngày, uống nước giúp nướu ngậm nước cũng là cách tốt nhất để kích thích tuyến nước bọt chống lại các vi khuẩn gây mảng bám và sâu răng.
Súc miệng bằng nước cũng giúp rửa sạch các thức ăn bị mắc kẹt trong miệng, gây hôi miệng.
Phô mai:
Nhiều nghiên cứu cho thấy phô mai với lượng carbohydrate thấp và hàm lượng canxi cao, cung cấp nhiều lợi ích cho răng của con người.
Chúng giúp cân bằng độ pH của miệng, cản trở quá trình phát triển của vi khuẩn.
Phô mai cũng bảo vệ và cấu tạo lại men răng, tạo ra nước bọt để giết chết các vi khuẩn gây sâu răng và viêm nướu.
Ưu điểm: nhanh, thời gian điều trị ngắn, công nghệ điều trị mới, an toàn. Hiệu quả sau điều trị giữ được lâu (tại Natalie, hiệu quả điều trị sau 1 lần là > 6 tháng)
Nhược điểm: Chi phí khá tốn kém.
Như vậy, việc có nên tẩy trắng răng hay không hoàn toàn phụ thuộc vào kinh tế của bạn, tuy nhiên Natalie khuyên bạn nên sử dụng phương pháp này vì hạn chế được tối đa tác động xấu trên răng mà đem lại hiệu quả lâu dài.

Natalie sử dụng công nghệ: Laser Whitening. Đây là công nghệ làm răng trắng sáng hoạt động trên cơ chế tích hợp các bước sóng laser dạng chùm, tác động phần ngà răng (lớp dưới men răng) giúp ngà răng hấp thụ hydrogen peroxide và trở nên sáng màu hơn.
Với ánh sáng SH whitening laser, răng bật 3 - 5 tone trắng mà không gây hại tới men răng.
Hàm lượng Hydrogen broshine 35 - 37% đảm bảo tiêu chuẩn nha khoa.
Bước 1: Kiểm tra tình trạng và đưa ra liệu pháp phù hợp;
Bước 2: Làm sạch răng;
Bước 3: Bôi kem bảo vệ nướu;
Bước 4: Bôi thuốc tẩy trắng răng;
Bước 5: Chiếu tia laser lên răng và tiến hành tẩy trắng;
Bước 6: Lau và hoàn thiện;
Bước 7: Dặn dò khách hàng sau tẩy trắng răng.

Natalie cam kết bằng văn bản với khách hàng về hiệu quả làm trắng răng.
Hiện tại chi phí tẩy trắng răng tại Natalie là 1 triệu/ 1 lần tẩy trắng.

Ưu đãi chỉ dành cho khách hàng đăng ký tại link này tẩy trắng răng chỉ còn 999k (giá gốc 1500k)
Đăng ký nhận tư vấn miễn phí từ Natalie tại:
Chưa từng có, tháng Bảy này, Natalie ưu đãi trị mụn mờ thâm chỉ 199k. Cam kết điều trị: + Chỉ 3-5 buổi, da sạch mụn mờ thâm. + Điều trị mọi loại mụn đeo bám dai dẳng lâu ngày. Có gì đặc ...
Tri ân khách hàng tháng 7 - Natalie giảm đến 2 triệu khi đăng ký dịch vụ triệt lông với mọi công nghệ. Triệt lông an toàn tại Natalie Bạn nhận được gì khi triệt lông tại Natalie: + Natal...
Tháng 7 này, Natalie tri ân khách hàng với dịch vụ Phun xăm thẩm mỹ - giảm ngay 500k khi đăng ký dịch vụ. Các dịch vụ Phun xăm tại Natalie: Dịch vụ Phun môi Phun môi sau bong Dịch ...
Từ ngày 1/7, khách hàng sẽ được giảm ngay 25% trên 1 hóa đơn (với mọi dịch vụ) khi giới thiệu thành công 1 khách hàng mới đến trải nghiệm dịch vụ tại Natalie Beauty Center. ...
Giao hàng trên toàn quốc
Thành tiền: